2022-05-17
두 개여야 할 앞니가 한 개? [엄마는예뻤다 가평아들]
안녕하세요. 미니쉬치과병원입니다!
답답하게만 느껴졌던 마스크, 누군가에게는 자신의 콤플렉스를 감추는 유용한 가림막입니다.
바로 이번 칼럼의 주인공의 이야기인데요. 오늘은 LG헬로비전 '엄마는 예뻤다' 세 번째 사연자, 가평엄마 아들의 진료 이야기를 전해드리겠습니다.

이OO님의 안모 변화 : 건강한 치아를 되찾는 과정
"활짝 웃고 있는 사진이 한 장도 없더라고요."
가평아들 이OO님 인터뷰 中
사람은 28개의 영구치로
평생을 살아갑니다.
그러나 선천적 요인으로 인해 과잉치, 결손치를 가진채로 태어나기도 하는데요. 가평아들 이OO님은 태어날 때 부터 앞니 한 개가 없었습니다. (이하 선천적 결손치) 그나마 있는 앞니 한 개도 크기가 비정상적으로 커 외모 콤플렉스가 심했죠. 이처럼 선천적 결손치는 심미성 저하뿐 아니라 기능적 불편을 유발합니다.
* 과잉치: 치아가 정상 개수보다 많은 경우
* 결손치: 치아가 정상 개수보다 적은 경우
실사례 소개에 앞서, 선천적 결손치가 왜 생기는지 원인을 알아보겠습니다.
선천적 결손치는 발육 장애 종류의 하나로 치아 개수가 모자른 상태를 말합니다. 선천적으로 나타나는 증상인 만큼 명확한 원인은 밝혀지지 않았지만, 대개 부모로 부터 받은 유전적 요인 혹은 임신 중 영구치의 '치배' 형성이 제대로 이루어지지 않는 등의 문제를 원인으로 보고 있습니다.

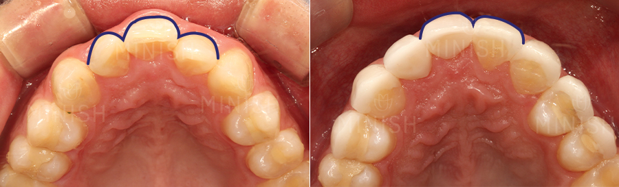
두 번째 앞니(측절치)를 이용한 결손치 복원
* 질환: 선천적 결손치(#21, #35), 치아비대칭, 교합 틀어짐
* 촬영일자: Before 2022.03.16 After 2022.04.08
* 실치료기간: 5일
개인에 따라 치료 기간이 다를 수 있으며, 부작용이 발생할 수 있으니 정확한 진료를 받고 치료를 진행하시기 바랍니다.
치아 개수가 부족한 결손치
어떤 문제를 유발할까?

출처 - LG헬로비전 X MBN 엄마는 예뻤다
1. 치아 배열 틀어짐
선천적 결손치가 생기면 해당 부위로 치아들이 움직이기 때문에 전체적인 배열이 틀어집니다. 이로 인해 치아의 주기능인 저작기능이 제대로 이루어지지 않으며 저작력이 저하됩니다.
* 저작기능: 음식을 씹는 기능
* 저작력: 음식을 씹는 힘
2. 부정교합
교합 틀어짐 즉, 부정교합을 유발합니다. 또 위 아래 치아의 중앙선이 맞지 않게 되면서 치아비대칭, 더 나아가 안면비대칭을 유발하는 원인이 됩니다. 이처럼 교합이 비정상적으로 맞물리는 것이 지속되면 궁긍적으로 치아의 수명을 단축시키는 원인이 됩니다.
3. 심미성 저하
치아는 음식을 씹는 중요한 신체부위이지만 심미적인 측면에도 큰 영향을 미칩니다. 특히 상대방과 대화를 나눌 때, 미소를 지을 때 드러나는 부위로 결손치가 있는 경우 극심한 외모 콤플렉스가 생깁니다.

출처 - LG헬로비전 X MBN 엄마는 예뻤다
가평아들 이OO님는 결손치로 인해 전체적인 구강 문제를 동반하고 있었는데요. 위, 아래, 좌, 우의 치아 대칭이 맞지 않았으며, 부정교합을 가지고 있어 전체적인 안모의 조화까지 불균형을 이루고 있었습니다. 뿐만 아니라 악궁이 좁고 아랫니의 #35 치아의 미싱으로 인해 전체적인 치열이 삐뚤빼뚤한 상태였죠.
악궁이 좁은 경우, 치아교정 및 악궁확장장치를 이용해 치아를 뒤로 밀어 공간을 확보합니다. 이후 만들어진 공간에 임플란트를 식립해 결손치를 대체하는 치료를 하죠. 그러나 이는 치아교정 기간과 잇몸뼈가 차는 기간 그리고 임플란트 치료 기간까지 오랜 시간을 투자해야 한다는 점에서 부담이 생깁니다.
* 악궁: 치아 배열이 교합면 방향에서 보았을 때 아치 형태를 띄는 모습
* 악궁확장장치: 위, 아래 턱의 공간이 좁아 치아가 배열될 공간이 없는 경우 악궁확장장치를 이용해 공간을 만들어 줌

ㄴ앞니 임플란트 식립으로 인한 지대주 비침
임플란트는 치아의 뿌리 역할을 해주는 기둥(픽스처)과 치아 모양을 채워주는 크라운, 그리고 이 둘을 연결하는 지대주((Abutment)의 구조입니다. 따라서 앞니(전치부)에 임플란트 식립이 필요한 경우 티타늄 소재의 지대주는가 잇몸 밖으로 비쳐 보이게 되어 심미성이 저하됩니다.
하지만 미니쉬(치아코팅 기술)는 길고, 힘들고, 불필요한 과정없이 치아를 건강하고 아름답게 복원할 수 있습니다. 이OO님도 악궁확장이나 임플란트가 아닌, 치아복구솔루션인 미니쉬만으로 평생을 잃어버린채 살았던 앞니 치아를 복원하였죠.
▶ About MINISH 바로보기

기존 앞니와 잘 어우러질 수 있도록 잇몸 형태와 치아의 크기, 색상까지 여러 측면을 고려해 진행하였습니다. 그 중에서도 치은절제술 및 핑크미니쉬를 통해 잇몸 라인의 대칭을 맞춰주었는데요. 부어있던 잇몸이 빠른 시일 내 건강해질 수 있도록 함은 물론, 자연스러운 잇몸 형태로 개선이 되었습니다. 또한 교합 힘에 의해 잇몸이 내려가 있었던 부분도 핑크미니쉬로 하여금 연분홍빛 잇몸으로 개선되었고, 조화롭고 건강한 잇몸 형태를 띠게 되었습니다.
* 핑크미니쉬: 치아 노화 및 외상으로 인해 앞니 잇몸이 꺼진 경우 핑크미니쉬를 통해 연분홍빛 잇몸으로 개선 (아래 이미지 참조)

이OO님의 경우 결손치로 인해 치아들이 쏠리면서 치아비대칭도 심각했는데요. 완벽한 대칭 개선에는 어려움이 있었지만, 미니쉬를 통해 앞니를 복원하고 치아비대칭도 자연스럽게 개선이 되었습니다.

이 부분은 듀얼미니쉬로 개선을 진행하였는데요.
아랫니 전면을 틈새없이 코팅해주어 자연치아는 건강하게 보호해주면서 전체적인 치열이 고르게 배열된 것이 보이죠. 뿐만 아니라 색상과 질감까지도 개선되어 심미적으로도 한 층 좋아졌습니다.
* 듀얼미니쉬: 치아 손상이 광범위 할 때, 치아의 전면을 코팅하여 보호함 (아래 이미지 참조)

선천적 결손치,
미니쉬로 복원하다!

출처 - LG헬로비전 X MBN 엄마는 예뻤다
살면서 단 한 번도 웃어 본 기억이 없다는 천안아들.
마침내 환히 웃는 모습을 보니 마음이 뭉클합니다. 오랜 시간 이OO님을 괴롭혔던 선천적 결손치가 두 개의 번듯한 앞니로 복원된 것은 물론 전체적인 치아의 배열과 색상, 더 나아가 스마일 라인까지 개선이 되었는데요. 타치과에서 대학병원을 권유할 만큼 워낙 난케이스였지만 미니쉬치과병원의 다년간의 임상경험과 숙련도가 뒷받침 되었기에 충분히 개선이 가능했습니다.
치아는 평생 쓰는 부위인 만큼 문제를 방치하는 것은 바람직하지 않습니다. 특히 선천적 결손치와 같은 케이스는 단지 치아의 문제를 넘어 안모, 건강의 이상으로 이어지기 때문에 전문가와 상담을 통해 개선하는 것이 좋겠습니다.
지금까지 미니쉬치과병원이었습니다!









