2025-04-14
치아 미백 비용 효과 단점 그리고 더 나은 대안까지!
거울을 봤을 때 치아가 누렇게 보이시나요?
한 번 변색된 치아는 양치질만으로 원래 색을 되찾기 어려워 고민이 되기 마련이죠. 치아 미백은 변색된 치아를 밝고 하얗게 만들어주는 효과적인 방법으로 많은 분들이 관심을 갖는 치료입니다. 오늘은 치아 변색의 원인부터 치아 미백 치료 방법, 비용, 그리고 장단점까지 꼼꼼하게 정리해 드릴게요.
글 마지막에는 미백보다 더 나은 솔루션도 소개해 드릴게요!
치아 착색 및 변색 원인
치아가 변색되는 이유는 크게 세가지로 나눌 수 있습니다.
1. 외부 착색
커피, 차, 와인, 콜라 같은 음료나 색소가 강한 음식은 치아 표면에 색소를 남겨 색이 변하게 만듭니다.
흡연 역시 큰 원인 중 하나로, 담배의 타르와 니코틴이 치아에 침착돼 누런색을 띠게 합니다.
2. 내부 변색
어릴 때 항생제(테트라사이클린 등)를 복용했거나, 치아 뿌리에 염증이 생긴 경우, 또는 나이가 들며 자연스럽게 치아 내부가 변색될 수 있습니다.
3. 실활치로 인한 변색
실활치는 치아의 신경이 손상되거나 죽어 기능을 잃은 치아를 말합니다. 충격이나 심한 충치 등으로 인해 발생하며, 치아에 어두운 회색 또는 갈색으로 변할 수 있습니다. 실활치는 감각이 없고 약해져 깨지기 쉬운 특징도 있습니다.
일상에서 치아 착색과 변색을 예방하려면?
1. 식후 양치질 및 입 헹구기
커피, 차, 초콜릿 같은 치아에 색이 배기 쉬운 음식을 먹었다면, 가능한 한 빨리 양치질을 해주는 것이 좋습니다. 바로 양치가 어렵다면 물로 입을 헹궈주시면 됩니다.
2. 음료 마실 때 빨대 사용하기
빨대를 사용하면 음료가 치아에 직접 닿는 것을 줄여 착색을 예방할 수 있습니다. 특히 자주 착색되는 음료를 마신다면 더욱 효과적입니다.
3.정기적으로 스케일링 받기
치석과 치태가 쌓이면 색소가 더 잘 달라붙기 떄문에 6개월 ~1년에 한 번은 스케일링을 받는 것이 좋습니다.
치아 미백 비용
치아 미백 비용은 병원과 지역에 따라 달라집니다.
전문가 미백은 1회당 약 10만~ 20만원이며, 원하는 밝기를 얻기 위해 2~3회 이상의 추가 시술이 필요할 수 있습니다. 여러 번 시술할 경우 회당 비용이 조금 더 저렴해 지기도 합니다.
실활치 미백은 신경이 손상된 치아에 진행하며 약 10만원 정도 소요됩니다. 과정이 일반 미백과는 다르기 때문에 전문 상담이 필요합니다.
정확한 비용을 확인하려면 가까운 치과에 방문해 상담 받아보시는 것이 가장 좋습니다.
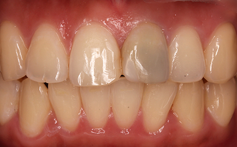
이미 누래진 치아, 어떻게 미백할까?
치아 미백은 치아 상태에 따라 맞춤 계획이 필요합니다. 준비부터 사후 관리 까지 단계별로 꼼꼼하게 진행됩니다.
1. 사전 검진
치아 상태와 변색 원인을 진단한 후, 적절한 미백 방법과 횟수를 결정합니다.
2. 스케일링
치석과 치태를 제거해 미백제가 치아에 잘 흡수되도록 도와줍니다. 스케일링 후 일시적으로 시린 증상이 있으나 며칠 내 완화됩니다.
3. 미백제 도포 및 LED /레이저 사용
치아에 미백제를 바르고, LED 또는 레이저 장비를 이용해 활성화합니다. 일반적으로 3회 이상 반복 시술이 필요할 수 있읍니다.
4. 시술 후 관리
시술 후 치아가 민감해질 수있습니다. 시린 증상은 대부분 일시적이며, 착색이 쉬운 음식은 피하는 것이 좋습니다.
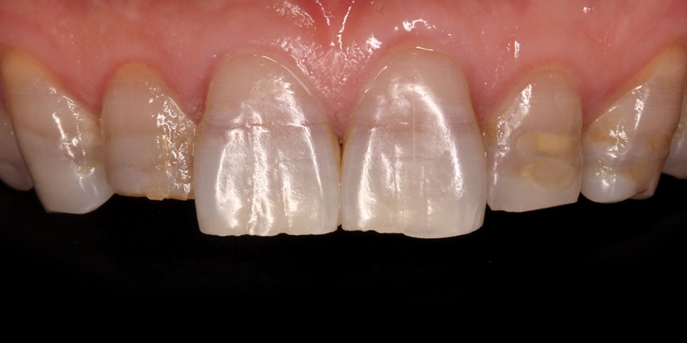
치아 미백보다 좋은 솔루션은?

미백의 단점이 고민이라면 , 더 오래가고 건강한 방법인 치아복구 솔루션 미니쉬를 고려해보세요.
미니쉬는 단순히 치아 색만 밝히는 것이 아니라, 손상된 치아를 복구해 건강까지 회복하는 솔루션입니다. 자연치아와 유사한 재료로 제작되어 하얗고 튼트한 치아를 오랫동안 유지할 수 있습니다.
치아복구 솔루션 미니쉬 특징
1. 내 치아처럼 튼튼한 재료
미니쉬에 사용되는 미니쉬블록은 독일의 치의료기기 전문 기업 VITA와 함께 개발된 고품질 재료로, 자연치아와 가장 비슷한 강도와 투명도를 가지고 있어요. 복구한 치아는 마치 원래 내 치아처럼 오랫동안 튼튼하게 유지됩니다.
2. 정밀한 제작과 밀착력
0.1mm의 얇은 두께로 제작돼, 필요 이상으로 치아를 깎지 않아도 돼요. 치아에 자연스럽게 맞춰서 붙기 때문에 틈이 생기지 않아 2차 충치에 대한 걱정을 덜어줘요. 정밀하게 맞물려 오래도록 편하게 사용할 수 있답니다.
3. 오랜 유지 기간
단순 미백치아보다 훨씬 오래가요. 복구 후에도 자연스럽고 밝은 치아 상태를 오래도록 유지할 수 있습니다.
복구한 치아는 최대 10년까지 품질이 보증됩니다. 그래서 복구한 치아를 더 오랜 기간 안심하며 사용할 수 있습니다.
5. 셀럽들도 선택한 치아복구 솔루션
대기업 회장, 연예인, 인기 유튜버등 500명 이상의 셀럽이 선택한 신뢰받는 솔루션입니다.
한 번 변색된 치아는 양치질만으로 원래 색을 되찾기 어려워 고민이 되기 마련이죠. 치아 미백은 변색된 치아를 밝고 하얗게 만들어주는 효과적인 방법으로 많은 분들이 관심을 갖는 치료입니다. 오늘은 치아 변색의 원인부터 치아 미백 치료 방법, 비용, 그리고 장단점까지 꼼꼼하게 정리해 드릴게요.
글 마지막에는 미백보다 더 나은 솔루션도 소개해 드릴게요!
치아 착색 및 변색 원인
치아가 변색되는 이유는 크게 세가지로 나눌 수 있습니다.
1. 외부 착색
커피, 차, 와인, 콜라 같은 음료나 색소가 강한 음식은 치아 표면에 색소를 남겨 색이 변하게 만듭니다.
흡연 역시 큰 원인 중 하나로, 담배의 타르와 니코틴이 치아에 침착돼 누런색을 띠게 합니다.
2. 내부 변색
어릴 때 항생제(테트라사이클린 등)를 복용했거나, 치아 뿌리에 염증이 생긴 경우, 또는 나이가 들며 자연스럽게 치아 내부가 변색될 수 있습니다.
3. 실활치로 인한 변색
실활치는 치아의 신경이 손상되거나 죽어 기능을 잃은 치아를 말합니다. 충격이나 심한 충치 등으로 인해 발생하며, 치아에 어두운 회색 또는 갈색으로 변할 수 있습니다. 실활치는 감각이 없고 약해져 깨지기 쉬운 특징도 있습니다.
일상에서 치아 착색과 변색을 예방하려면?
1. 식후 양치질 및 입 헹구기
커피, 차, 초콜릿 같은 치아에 색이 배기 쉬운 음식을 먹었다면, 가능한 한 빨리 양치질을 해주는 것이 좋습니다. 바로 양치가 어렵다면 물로 입을 헹궈주시면 됩니다.
2. 음료 마실 때 빨대 사용하기
빨대를 사용하면 음료가 치아에 직접 닿는 것을 줄여 착색을 예방할 수 있습니다. 특히 자주 착색되는 음료를 마신다면 더욱 효과적입니다.
3.정기적으로 스케일링 받기
치석과 치태가 쌓이면 색소가 더 잘 달라붙기 떄문에 6개월 ~1년에 한 번은 스케일링을 받는 것이 좋습니다.
치아 미백 비용
치아 미백 비용은 병원과 지역에 따라 달라집니다.
전문가 미백은 1회당 약 10만~ 20만원이며, 원하는 밝기를 얻기 위해 2~3회 이상의 추가 시술이 필요할 수 있습니다. 여러 번 시술할 경우 회당 비용이 조금 더 저렴해 지기도 합니다.
실활치 미백은 신경이 손상된 치아에 진행하며 약 10만원 정도 소요됩니다. 과정이 일반 미백과는 다르기 때문에 전문 상담이 필요합니다.
정확한 비용을 확인하려면 가까운 치과에 방문해 상담 받아보시는 것이 가장 좋습니다.
이미 누래진 치아, 어떻게 미백할까?
치아 미백은 치아 상태에 따라 맞춤 계획이 필요합니다. 준비부터 사후 관리 까지 단계별로 꼼꼼하게 진행됩니다.
1. 사전 검진
치아 상태와 변색 원인을 진단한 후, 적절한 미백 방법과 횟수를 결정합니다.
2. 스케일링
치석과 치태를 제거해 미백제가 치아에 잘 흡수되도록 도와줍니다. 스케일링 후 일시적으로 시린 증상이 있으나 며칠 내 완화됩니다.
3. 미백제 도포 및 LED /레이저 사용
치아에 미백제를 바르고, LED 또는 레이저 장비를 이용해 활성화합니다. 일반적으로 3회 이상 반복 시술이 필요할 수 있읍니다.
4. 시술 후 관리
시술 후 치아가 민감해질 수있습니다. 시린 증상은 대부분 일시적이며, 착색이 쉬운 음식은 피하는 것이 좋습니다.
치아 미백보다 좋은 솔루션은?

미백의 단점이 고민이라면 , 더 오래가고 건강한 방법인 치아복구 솔루션 미니쉬를 고려해보세요.
미니쉬는 단순히 치아 색만 밝히는 것이 아니라, 손상된 치아를 복구해 건강까지 회복하는 솔루션입니다. 자연치아와 유사한 재료로 제작되어 하얗고 튼트한 치아를 오랫동안 유지할 수 있습니다.
치아복구 솔루션 미니쉬 특징
1. 내 치아처럼 튼튼한 재료
미니쉬에 사용되는 미니쉬블록은 독일의 치의료기기 전문 기업 VITA와 함께 개발된 고품질 재료로, 자연치아와 가장 비슷한 강도와 투명도를 가지고 있어요. 복구한 치아는 마치 원래 내 치아처럼 오랫동안 튼튼하게 유지됩니다.
2. 정밀한 제작과 밀착력
0.1mm의 얇은 두께로 제작돼, 필요 이상으로 치아를 깎지 않아도 돼요. 치아에 자연스럽게 맞춰서 붙기 때문에 틈이 생기지 않아 2차 충치에 대한 걱정을 덜어줘요. 정밀하게 맞물려 오래도록 편하게 사용할 수 있답니다.
3. 오랜 유지 기간
단순 미백치아보다 훨씬 오래가요. 복구 후에도 자연스럽고 밝은 치아 상태를 오래도록 유지할 수 있습니다.
4. 최대 10년 품질 보증
5. 셀럽들도 선택한 치아복구 솔루션
대기업 회장, 연예인, 인기 유튜버등 500명 이상의 셀럽이 선택한 신뢰받는 솔루션입니다.
치아 미백보다 더 나은 방법을 고민 중이라면,
미니쉬치과병원에서 정확한 진단과 1:1 맞춤 진료를 받아보세요.
미니쉬치과병원은 과잉 진료 없이 통증을 최소화하는 치료를 원칙으로, 연중무휴 363일 진료합니다. 12명의 전문 치과의사가 자연 치아 보존과 복구에 집중하며, 더 건강하고 아름다운 치아를 위한 솔루션을 제공합니다.








