//

그 누구도 따라할 수 없는 압도적인 차이

벌어진 치아는 OOO가 답이다

벌어진 치아를 채우는 방법, 1분만 집중하세요!

위 영상 자료는 미니쉬치과병원에서 미니쉬를 진행한 초상권 환자입니다

내 치아는 왜 벌어졌을까?

  • 교정 후 다시 벌어짐 교정 후에도 교합변화,
    재발 등의 이유로 다시 치아가
    벌어지는 현상입니다.

  • 선천적인 왜소치 선천적으로 치아가 작은 경우,
    치아 사이에 공간이
    벌어져 보입니다.

  • 잇몸 노화(잇몸질환) 치아를 지지하는 잇몸 조직의
    손실로 치아가 쉽게
    벌어지게 됩니다.

벌어진 치아
왜 치료 해야할까요?

앞니가 벌어지게 되면 미관상 좋지 못할 뿐 아니라,
음식섭취, 발음문제 등으로 불편
하기 때문입니다.

  • 심미적인 문제
  • 발음 문제
  • 음식 섭취시
    불편감
  • 01 심미적인 문제
  • 02 발음 문제
  • 03 음식 섭취시
    불편감

벌어진 치아
미니쉬로 해결하세요!

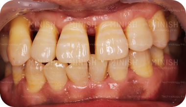
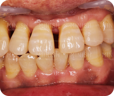
미니쉬 전후 사진

  • Before

    After

  • Before

    After

  • Before

    After

  • Before

    After

  • Before

    After

미니쉬는
라미네이트와 다릅니다!

어금니 까지 가능한 미니쉬

미니쉬는 미용 목적의 라미네이트와 달리 앞니뿐만 아니라
어금니를 포함한 전체 치아까지 치료가 가능합니다.

현재 미니쉬

미니쉬 블록

미니쉬블록은 전세계 150개국에 치과 재료를 수출하는
독일 VITA와 파트너십
을 통해 만들어집니다.

  • 자연치아와 동일한 물성! 미니쉬는 현존하는 치과 재료 중 자연치아와
    가장 유사한 물성을 가진 미니쉬 블록을 사용합니다.

  • 글로벌 기업에서 독점 생산! 세계적인 치의료기기 기업 VITA와 파트너십을 통해
    미니쉬블록을 독점 공급 받고 있습니다.

  • 하이 테크놀로지 기술! 미니쉬블록은 반도체 로봇 1위 기업과 협력해 더 정밀하고
    고도화된 초정밀 밀링머신 장비와 기술로 만들어집니다.

국내 최대 15만 임상 케이스

자연치아를 최대한 보존하려는 신념과 철학으로
16년간 15만여 건의 임상 치료 데이터를 쌓아왔습니다.

16년 동안
15만건의
임상 치료 데이터

국내 유일 10년 보증

  • 가짜 미니쉬가 있다고? 최근 일부 치과들이 미니쉬 치료를
    하거나 미니쉬블록과 같은 재료를
    사용한다고 속이는 사례가
    빈번해지고 있습니다.

  • 미니쉬는 아무나
    할 수 없습니다!
    미니쉬만의 특별한 테크닉,
    까다로운 제작 방법과 비용 때문에
    미니쉬 인증 병원은 정해져있습니다.

  • 최대 10년까지 보증! 공식 인증 받은 미니쉬 멤버스
    클리닉에서만 미니쉬를 할 수 있고
    최대 10년까지 보증해드립니다.

미니쉬치과병원

  • 의원급이 아닌 대형 규모의
    치과병원
  • 12명의 전문과 의사
  • 365일 매일
    야간 진료
  • 20년 전통의 치과

미니쉬 치과병원을
선택하는 이유?

  • 국내 최대 미니쉬 사례 보유 병원

  • 고난이도 임플란트 수술 가능 병원

  • 특수 교정 클리닉 운영

찾아오시는 길

서울 강남구 언주로 728 미니쉬치과병원(논현동 98-2)

미니쉬치과병원 진료시간안내
월 ~ 금
AM 10:00 ~ PM 20:00
토요일
AM 10:00 ~ PM 18:00