위 영상 자료는 미니쉬치과병원에서 미니쉬를 진행한 초상권 환자입니다
초/격/차
틀어진 치아, 단 하루 만에 교정된다면?
위 영상 자료는 미니쉬치과병원에서 미니쉬를 진행한 초상권 환자입니다
삐뚤빼뚤, 틀어진치아 고민?
틀어진치아 때문에 웃지 못한다면?
삐뚤어진 치아 때문에 사진 촬영을 할 때
활짝 웃을수 없어, 항상 신경이 쓰였어요.
남들보다 치아가 가지런하지 못해서
자신감을 많이 잃었어요.
턱의 크기에 비해 치아가 크거나,
가지런하게 배열될 공간이 부족한 경우
치아가 전체적으로 삐뚤게 나거나,
들쑥날쑥하게 되는데
이것을
치아 총생(Crowding)이라고 합니다.
치아의 배열이 고르지 못한 경우에는
심미적으로
문제가 되지만,
음식물이 끼기 쉬운 환경을 제공하여
구강질환에 취약한 환경을 만들게 됩니다.
틀어진치아
손상없이 하루만에 개선하는
미니쉬는 자연치아와 가장 유사한 재료로
수복물을 만든 후
틀어진치아와
접착시켜 불필요한 삭제 없이
치아의 배열 개선뿐만 아니라 잇몸까지도
회복이 가능한 치료입니다.
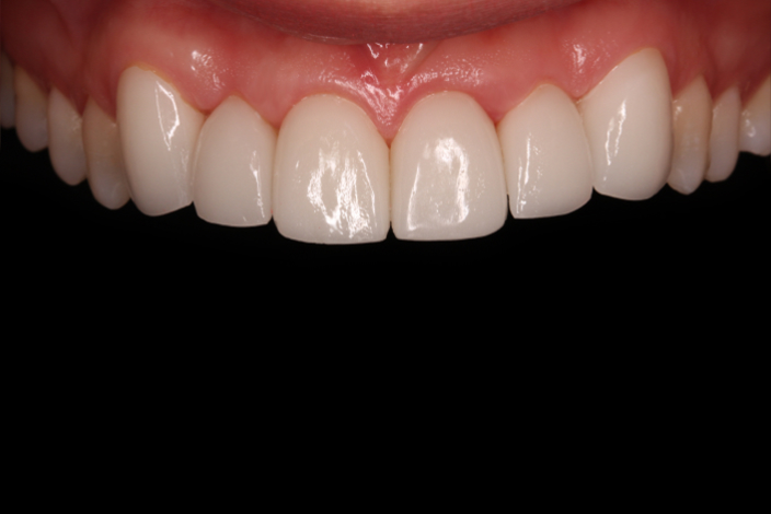
최종 완성된 자연치아와 유사한 # 미니쉬
치아의 갑옷 역할을 하는 에나멜은
재생되지 않기 때문에
최대한 보존하는게
중요합니다. 미니쉬는 치아 손실을
최소화하고 치아건강을 해치지 않습니다.

건강하고 아름다운 미소를 위해
미니쉬치과병원에서
치아복구 솔루션
‘미니쉬’를 만나보세요!
서울 강남구 언주로 728 미니쉬치과병원
논현동98-2
신사역 1번 출구에서 탑승
제일은행, 호림아트센터 앞 정류장에 하차
도산대로 사거리에서 세관사거리 방향으로 약 50m 거리
강남구청역 4번 출구에서 탑승
4번째 도산공원사거리 정류소에 하차
도산대로 사거리에서 세관사거리 방향으로 약 50m 거리
병원 앞에서 발렛 서비스가 가능합니다.