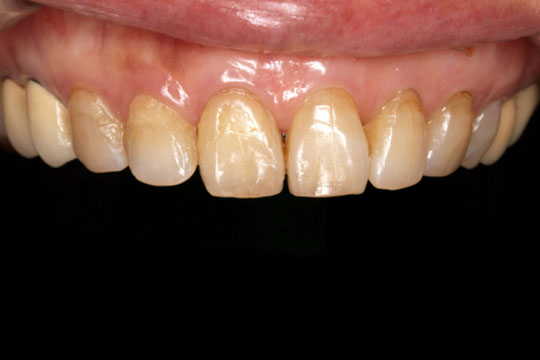
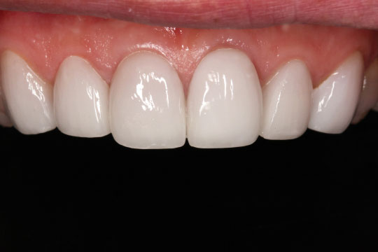
위 영상 자료는 미니쉬치과병원에서 미니쉬를 진행한 초상권 환자입니다
초/격/차
미백으로 하얘지지 않는다면?
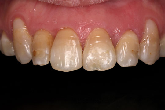
위 영상 자료는 미니쉬치과병원에서 미니쉬를 진행한 초상권 환자입니다
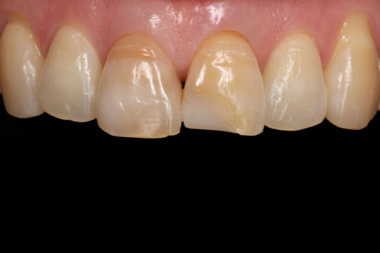
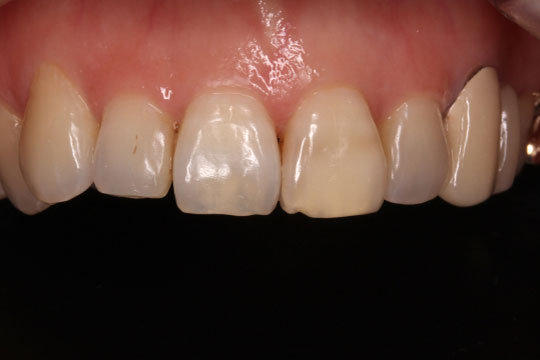
치아의 노화로 인한 상아질 노출, 외상 충격으로 인한 변색,
신경치료 후 혹은 약물에 의한 변색, 생활습관에 의한 착색 등
치아 변색의 증상과 원인은 다양합니다.

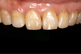
노화로 인한 변색

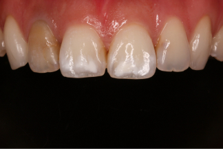
신경치료 후 변색

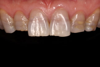
약물에 인한 변색
미백은 간단하게 치아 색상을 밝게 개선해주는
시술이지만, 치아의 상태에 따른 효과의
차이가 개인마다 다를 수 있습니다.
또한 일회성으로 마무리 되지 않고
주기적으로
해야 한다는
한계성이 있습니다.
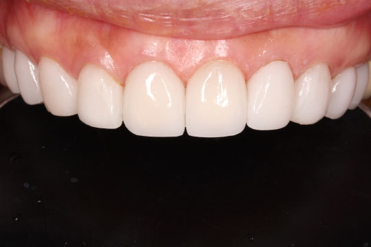
미니쉬는 자연치아와 가장 유사한 재료로
수복물을 만든 후
치아에 접착시켜 치아와 잇몸까지
회복 할 수 있으며,
단 한번으로, 하루만에
반영구적인 치아 색상 개선이 가능합니다.
치아의 갑옷 역할을 하는 에나멜은
재생되지 않기 때문에 최대한 보존하는게
중요합니다. 미니쉬는 치아 손실을 최소화하고
치아건강을 해치지 않습니다.
최종 완성된 자연치아와 유사한
# 미니쉬
미니쉬 치료는 오차 없이 정밀한 치아 스캔을
통해 자연치아에 손상 부위에 맞게
정교하게 제작되며 정확하게 결합합니다.
10년 보증에 대한 자신감은 미니쉬 치료 후
10년이 지나도 탈이 나지 않는 점이
검증되었기 때문입니다.
치아를 지키다, 미니쉬하다!
환자 1명당 전담 스텝 6명을 투입하여
진료 시간을 축소하였고
원내 기공 연구원
3명을 동시에 투입하여 미니쉬를 제작합니다.

건강하고 아름다운 미소를 위해
미니쉬치과병원에서
치아복구 솔루션
‘미니쉬’를 만나보세요!
서울 강남구 언주로 728 미니쉬치과병원
논현동98-2
신사역 1번 출구에서 탑승
제일은행, 호림아트센터 앞 정류장에 하차
도산대로 사거리에서 세관사거리 방향으로 약 50m 거리
강남구청역 4번 출구에서 탑승
4번째 도산공원사거리 정류소에 하차
도산대로 사거리에서 세관사거리 방향으로 약 50m 거리
병원 앞에서 발렛 서비스가 가능합니다.