MINISH

건강하게 아름다워지는
미니쉬

치열개선 원데이 시스템

틀어진 치아 때문에
잘 웃지 못한다면?

턱의 크기에 비해 치아가 크거나,
가지런하게 배열될 공간이 부족한 경우
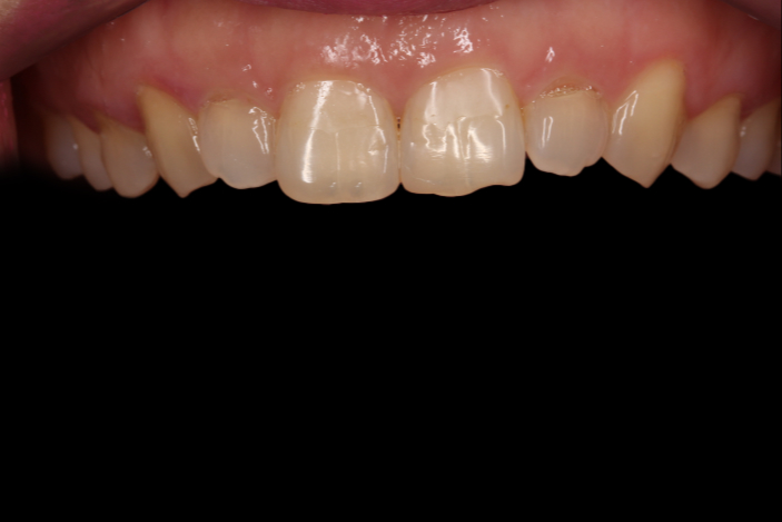
치아가 전체적으로 삐뚤게 나거나,
들쑥날쑥하게 되는데
이것을
치아 총생(Crowding)이라고 합니다.

치아의 배열이 고르지 못한 경우에는
심미적으로
문제가 되지만,
음식물이 끼기 쉬운 환경을 제공하여
구강질환에 취약한 환경을 만들게 됩니다.

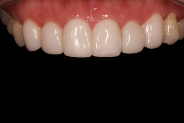
틀어진 치아 개선 방법은?

틀어진치아
손상없이 하루만에 개선하는

미니쉬 치료

미니쉬는 자연치아와 가장 유사한 재료
수복물을 만든 후
틀어진치아와
접착시켜 불필요한 삭제 없이
치아의 배열 개선뿐만 아니라 잇몸까지도
회복이 가능한 치료입니다.

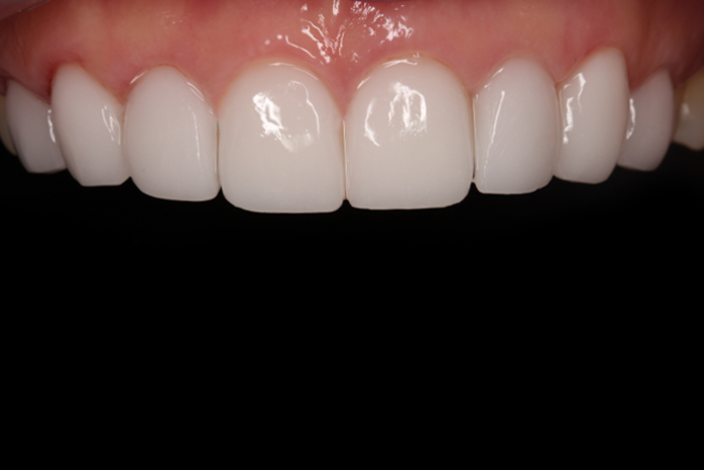
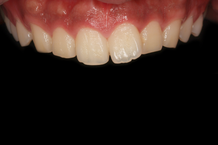
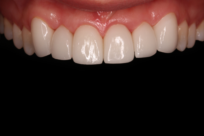
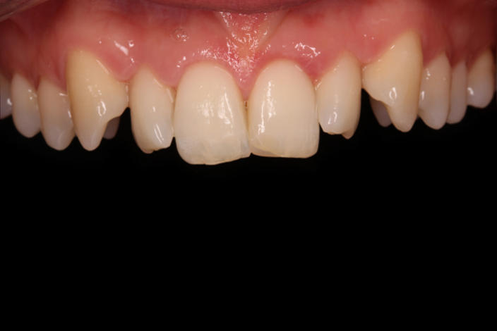
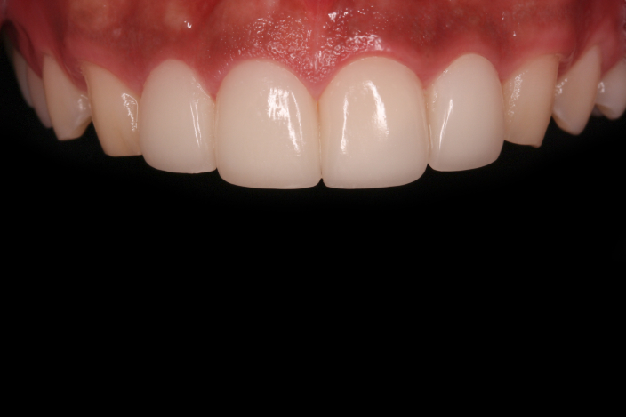
미니쉬 전후 사진

  • Before

    After

  • Before

    After

  • Before

    After

  • Before

    After

미니쉬는 자연치아와 유사하다!

#같은 성질

#같은 강도

#같은 형태

최종 완성된 자연치아와 유사한 # 미니쉬

치아의 갑옷 역할을 하는 에나멜은
재생되지 않기 때문에
최대한 보존하는게
중요합니다. 미니쉬는 치아 손실을
최소화하고 치아건강을 해치지 않습니다.

정밀한 기술,
디테일이 다른 미니쉬

#정밀 스캔

#정밀 제작

#정밀 결합

미니쉬는 정밀 가공과 빈틈없는 접착 기술
치료 후 세균이 들어갈 틈이 없어 충치뿐만
아니라
잇몸질환까지 줄일 수 있습니다.
최대 10년
보증의 자신감!

#16년 노하우

#15만 케이스

#10년 보증

10년 보장에 대한 자신감은 미니쉬 치료 후
10년이 지나도 탈이 나지 않는 점이
검증되었기 때문입니다.
하루 만에 치아가
건강해지는 미니쉬

#원데이

#원내 기공소

#전담팀

환자 1명당 전담 스텝 6명을 투입하여
진료 시간을 축소하였고 원내 기공 연구원
3명

동시에 투입하여 미니쉬를 제작합니다.

건강하고 아름다운 미소를 위해
미니쉬치과병원에서
치아복구 솔루션
‘미니쉬’를 만나보세요!

*미니쉬는 미니쉬 멤버스 클리닉에서만 시술을 받으실 수 있습니다.
미니쉬치과병원 오시는 길

서울 강남구 언주로 728 미니쉬치과병원

논현동98-2

학동역 10번 출구로
나와서 직진해 주세요.
교통수단 이용시 방문 방법
지하철 이용 시
학동
10번 출구 도보11분
강남구청
3번 출구 도보14분
강남구청
5번 출구 도보16분
버스 이용 시

신사역 1번 출구에서 탑승
제일은행, 호림아트센터 앞 정류장에 하차
도산대로 사거리에서 세관사거리 방향으로 약 50m 거리

145, 440 4212

강남구청역 4번 출구에서 탑승
4번째 도산공원사거리 정류소에 하차
도산대로 사거리에서 세관사거리 방향으로 약 50m 거리

3011
자가용 이용 시
Valet parking

병원 앞에서 발렛 서비스가 가능합니다.