//

그 누구도 따라할 수 없는 압도적인 차이

라미네이트 치료 후 불편하다면?

왜 불편한지, 1분만 집중하세요!

위 영상 자료는 미니쉬치과병원에서 미니쉬를 진행한 초상권 환자입니다

내 치아도 다시
치료가 필요할까?

다양한 라미네이트 부작용 사례

  • 잇몸 염증

  • 보철물 탈락

  • 잇몸 변색

  • 색상 모양 불만

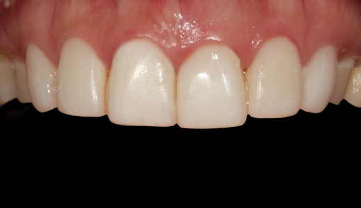
미니쉬 래미디를 활용한
라미네이트 부작용 개선 사례

미니쉬 래미디(재치료)란?

래미디(재치료)는 단순한 보철물 교체가 아닌
접착제의 부식과
오래된 보철물로 인해 이미
손상받은 자연치아의 속(=지대치)까지
최대한
복구,재생 시켜주는 프로그램입니다.

기존에 문제가 되었던 보철물을 제거하고 남은
자연치아를 최대한
복구, 재생시킨 후 치아의
기능성과 심미성을 동시에 회복해 드립니다.

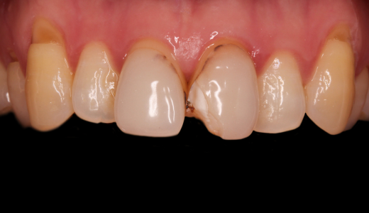
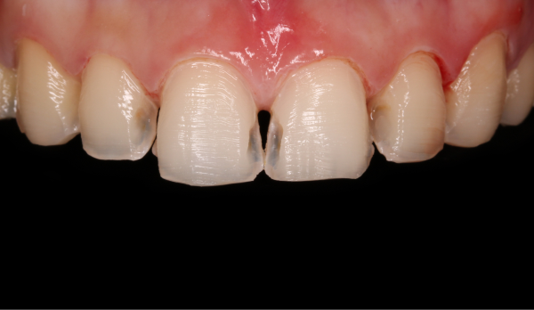
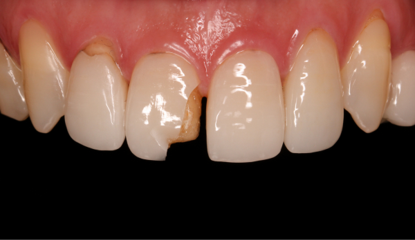
라미네이트 파절 및 변색

제거 후 치아 상태

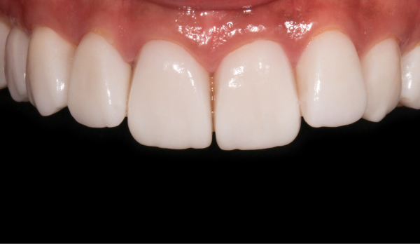
미니쉬 치료

미니쉬 차별점

#변연 봉쇄

처음 치아와 동일한 상태의 완벽한 접착

미니쉬 더 알아보기 >>

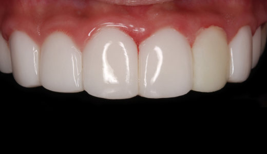
미니쉬 래미디 적용 사례

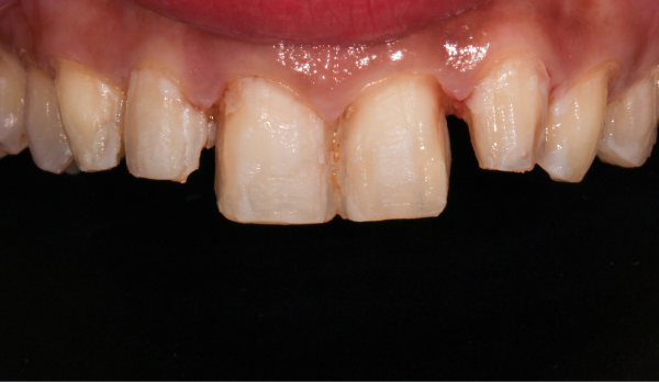
[적용 사례 1]
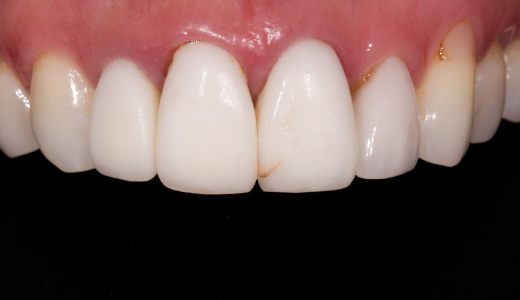
  • 01.색상 모양 불만

  • 02.제거후 치아 상태

  • 03.미니쉬 치료

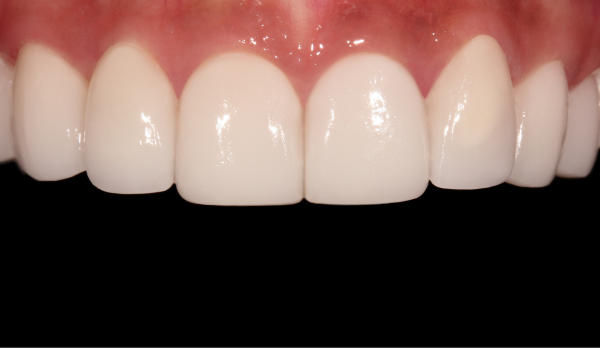
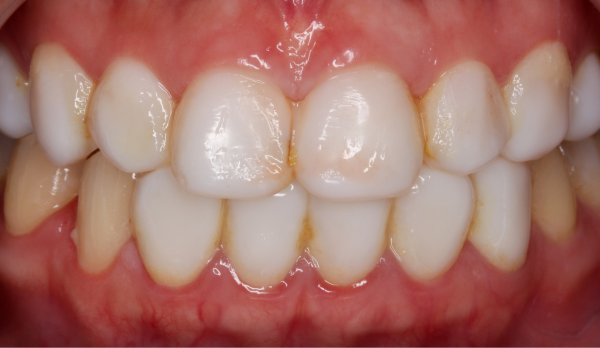
[적용 사례 2]
  • 01.색상 모양 불만

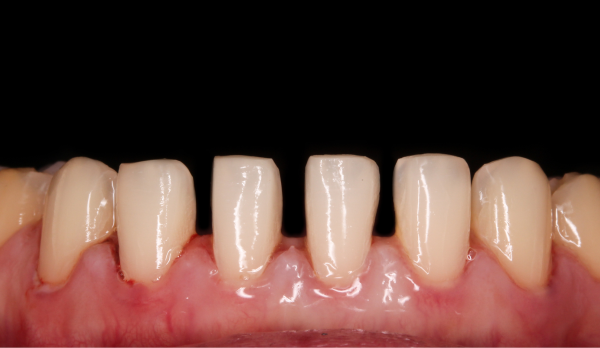
  • 02.제거 후 상악 치아 상태

  • 02.제거 후 하악 치아 상태

  • 04.미니쉬 치료

정밀한 기술,
디테일이 다른 미니쉬

# 미니쉬 차별점

정확하고 정밀하게 1day 시스템

미니쉬 기공연구소의 최첨단 장비와 시스템이 만나 정밀한 수복물의 제작에 가능해졌으며, 환자가 치료 받는 시간은 축소 됩니다. 미니쉬를 동시에 8개 까지 제작 가능하며, 시간이 1/8로 줄어들지만, 정밀성을 부여하기 위해 2차 기공에는 충분한 시간을 투입하면서 퀄리티를 높였습니다.

다양한 전문과 의사 상주 및 협진

의료인력 상시 상주

미니쉬는 363 주말 및 평일 야간진료까지 상시 운영되는 병원으로 평일 저녁 8시(20시) 까지 의료진이 대기하며 환자에 필요한 진료를 제공 할 수있는 병원입니다.

기공소 자체 보유로 1:1 즉시 대응

미니쉬 기공 연구소는 국내 최대 규모의 치아 디지털 연구소로 경력 20년 이상의 소장을 필두로 하여 평균 15년 이상의 수석, 책임 연구원을 비롯한 20명의 사원으로 구성되어 있습니다. 단계별 세분화된 치아 디자인 작업을 통하여 신속하고 완성도 높은 결과물을 완성시키며, 총 8개의 미니쉬 제작에 3명의 전담 기공 인력이 배정되어 빠르게 정밀하고 완벽한 수복물의 제작이 가능합니다.

최대 규모 기공소 체계화된
기공 인프라

병원급 의료 시설

800평 논현동 사옥 14층 단독 치과병원

14F미니쉬 라운지
13F미니쉬 컨퍼런스홀
12F스튜디오
11F미니쉬테크놀로지(주)
10F미니쉬 진료센터3
9F미니쉬 진료센터2
8F미니쉬 진료센터1 / 구강검진센터
7F집중예방관리센터
6F미니쉬 기공연구소
5F미니쉬생체모방치의학회
4F교정 / 임플란트센터
3F통합진료센터
2F종합안내(접수/수납)
1F미니쉬 샵

프라이빗한 1 : 1 진료실

프리미엄 진료 진료실은 오직 6개층만

모든 진료실이 프라이빗한 1:1 진료실이며, 진료에 관한 협업이 모두 원내에서 이뤄지도록 하면서도 빠른 협업이 되도록 동선을 고려하여 설계한 빌딩으로 진정한 프리미엄 진료를 추구합니다.

A/S 최대 10년 보증제

16년간 축적된 15만 임상 케이스

미니쉬의 10년 보증시스템은 치료에 대한 경험치와 진료에 대한 검증을 나타내며, 치료에 대한 영속성을 보장하는 자신감입니다.