벌어진 치아, 지금 채울 타이밍 !
영상 자료는 미니쉬치과병원에서 미니쉬를 진행한 초상권 환자입니다.
# 미니쉬 # 치아복구 솔루션
벌어진 치아 때문에 웃지 못한다면?
미니쉬치과병원에서는 하루면 복구가 가능해요!
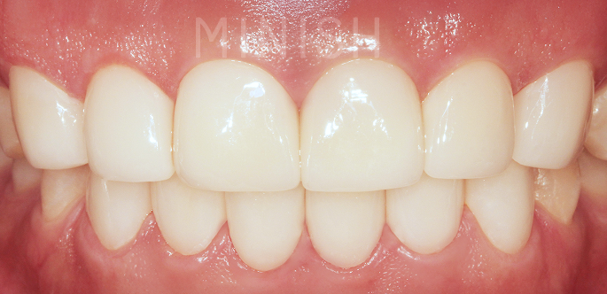
윗니 미니쉬 전
윗니 미니쉬 후 ( 원데이 )
치아는 얼굴 중심에 위치해 있어,
웃을 때 가장 먼저 보이는 곳입니다.
치아 하나로 인상이 달라질 수 있죠.
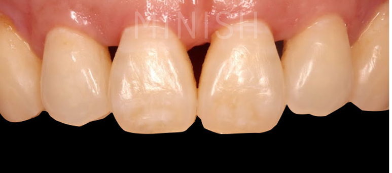
미니쉬 전
미니쉬 후 ( 원데이 )
윗니 미니쉬 전
윗니 미니쉬 후 ( 원데이 )
벌어진 치아는 보여지는 모습 뿐만 아니라
음식 섭취, 발음 문제 등
일상생활에서 불편을 줄 수 있습니다.
모양, 색상에 대한 불 만족
멀쩡한 치아를 뽑을 수 있음
치아 삭제로 네모난 치아
치아 이동으로 인해 틈 발생
벌어진 치아,
미니쉬로 어떻게 달라졌을까요?
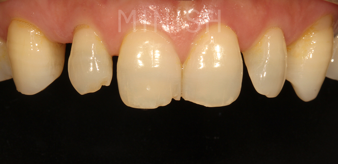
미니쉬 전
미니쉬 후 ( 원데이 )
불필요한 삭제 없이, 부족한 부분은
채워 치아 배열을 개선합니다.
미니쉬는 자연치아와 가장 유사한 재료를 사용해
불필요한 삭제 없이 치아의 배열 개선 뿐만 아니라
모양, 색상, 잇몸까지도 복구가 가능한 솔루션입니다.
미니쉬,
어떤 과정으로 진행될까요?
신세계 회장
정용진
배우
마동석
90만 유튜버. 교육하는 의사
이동환
강남제이에스병원 원장
김나민
미니쉬치과병원 원장
이정은
청담써클의원 원장
서희원
전관 15층
단독 운영
미니쉬치과병원
진료실 전 공간 1인 전용
프라이빗 진료실
더 나은 치료를 위한 연구
생체모방치의학회
10년 이상 숙련된 정밀 기공
미니쉬기공연구소
벌어진 치아에 대한 고민이 있다면,
미니쉬치과병원에서 하루만에 개선이 가능한
치아복구 솔루션 미니쉬를 만나보세요!
FAQ
자주 묻는 질문미니쉬는 어디에서 받을 수 있나요?
미니쉬는 미니쉬테크놀로지의 공식 협력 기관인
MINISH Provider에서만 가능합니다.
MINISH Provider는 미니쉬테크놀로지
홈페이지에서 확인하실 수 있습니다.
미니쉬 정품 인증이 꼭 필요한가요?
최근 협력 치과가 아닌 일부 치과에서 미니쉬를
한다는 잘못된 정보를 알리고 있습니다.
이러한 피해를 방지하기 위해 정품 인증을
권장드리며, 최대 10년까지 보증을 해드립니다.
미니쉬 비용이 궁금해요!
미니쉬는 의료진의 미니쉬 케이스 경험에 따라
달라지는 차등수가제로 진행되고 있습니다.
환자 분들의 선택의 폭을 넓히기 위해 선택한
방법입니다.
미니쉬 비용에 부가세가 포함 되나요?
치료 목적으로 진행하는 미니쉬는 부가세가
과세되지 않습니다.
전문의와 1:1 상담, 정밀 진단을 통해
나에게 맞는 솔루션을 직접 확인해보세요!