치료 후 불편하다면, 지금 복구할 타이밍 !
영상 자료는 미니쉬치과병원에서 미니쉬를 진행한 초상권 환자입니다.
# 미니쉬 # 치아복구 솔루션
시간이 지나 느껴지는 이물감과 통증,
재치료가 필요한 신호,
미니쉬로 해결하세요!
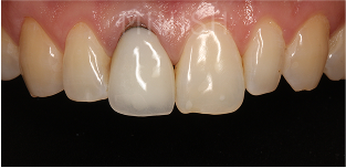
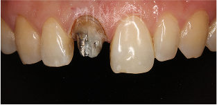
01
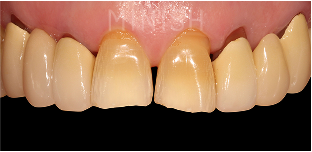
과거 크라운 치료
미니쉬 전
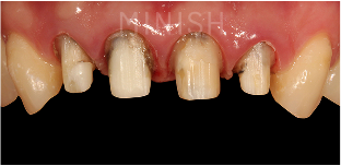
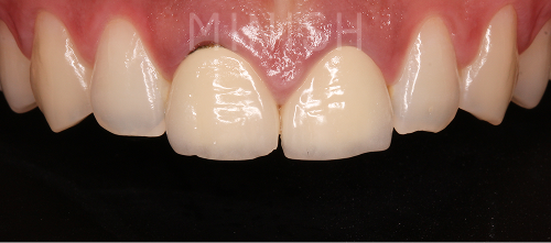
02
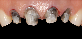
크라운 제거 후
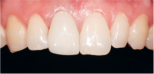
미니쉬 후 ( 원데이 )
01
과거 크라운 치료
02
크라운 제거 후
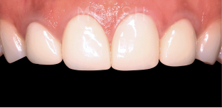
미니쉬 후 ( 원데이 )
01
과거 크라운 치료
02
크라운 제거 후
미니쉬 후 ( 원데이 )
01
과거 크라운 치료
02
크라운 제거 후
미니쉬 후 ( 원데이 )
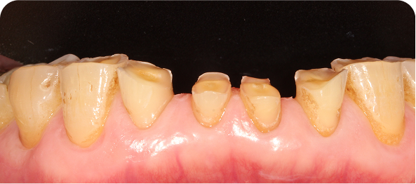
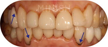
신경치료 후 시간이 지나면 접착이 약해지거나,
경계 부위에 생긴 틈 사이로
음식물 부패,
잇몸 염증, 2차 충치까지 생길 수 있습니다.
경계부위 틈으로 인한 변색
잇몸 변색
보철 파절 탈락
2차 충치 발생
잇몸 붓기로 인한 염증과 통증
맞물리는 상대 치아 마모
재발한 크라운 부작용
크라운 재치료,
미니쉬로 이렇게 달라졌어요!
01
과거 크라운 치료
미니쉬 전
02
크라운 제거 후
미니쉬 후 ( 원데이 )
01
과거 크라운 치료
02
크라운 제거 후
미니쉬 후 ( 원데이 )
01
과거 크라운 치료
02
크라운 제거 후
미니쉬 후 ( 원데이 )
2015년
2020년
2025년
2014년
2017년
2024년
미니쉬는 자연치아와 가장 유사한 재료를 사용해
불필요한 삭제 없이 치아의 배열 개선 뿐만 아니라
모양, 색상, 잇몸까지도 복구가 가능한 솔루션입니다.
미니쉬,
어떤 과정으로 진행될까요?
신세계 회장
정용진
배우
마동석
90만 유튜버. 교육하는 의사
이동환
강남제이에스병원 원장
김나민
미니쉬치과병원 원장
이정은
청담써클의원 원장
서희원
전관 15층
단독 운영
미니쉬치과병원
진료실 전 공간 1인 전용
프라이빗 진료실
더 나은 치료를 위한 연구
생체모방치의학회
10년 이상 숙련된 정밀 기공
미니쉬기공연구소
크라운 재치료에 대한 고민이 있다면,
미니쉬치과병원에서 하루만에 개선이 가능한
치아복구 솔루션 미니쉬를 만나보세요!
FAQ
자주 묻는 질문미니쉬는 어디에서 받을 수 있나요?
미니쉬는 미니쉬테크놀로지의 공식 협력 기관인
MINISH Provider에서만 가능합니다.
MINISH Provider는 미니쉬테크놀로지
홈페이지에서 확인하실 수 있습니다.
미니쉬 정품 인증이 꼭 필요한가요?
최근 협력 치과가 아닌 일부 치과에서 미니쉬를
한다는 잘못된 정보를 알리고 있습니다.
이러한 피해를 방지하기 위해 정품 인증을
권장드리며, 최대 10년까지 보증을 해드립니다.
미니쉬 비용이 궁금해요!
미니쉬는 의료진의 미니쉬 케이스 경험에 따라
달라지는 차등수가제로 진행되고 있습니다.
환자 분들의 선택의 폭을 넓히기 위해 선택한
방법입니다.
미니쉬 비용에 부가세가 포함 되나요?
치료 목적으로 진행하는 미니쉬는 부가세가
과세되지 않습니다.
전문의와 1:1 상담, 정밀 진단을 통해
나에게 맞는 솔루션을 직접 확인해보세요!